Cabinet du Docteur Sébastien GINFRAY
Chirurgien-Dentiste à Beauvais Omnipraticien, implantologie, parodontologie
Chirurgien-Dentiste à Beauvais Omnipraticien, implantologie, parodontologie
Cabinet du Docteur Sébastien GINFRAY

5 B Place Saint-Etienne
60000 BEAUVAIS

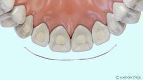
Fil de contention


video-play-icon

Articles similaires

Création par Webdentiste

Connexion